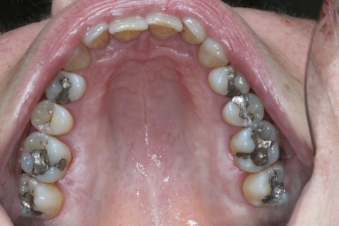
Amalgam
| Gesetzliche Kassen | Kassenleistung |
| Private Kassen | Übernahme im tariflichen Rahmen |
| Vorteile | vertetbarer Preis, sofort herstellbar, leicht zu verarbeiten |
| Nachteile | nicht zahnfarben, dunkel gibt ständig hochgiftiges Quecksilber ab |

Zement
| Gesetzliche Kassen | Vollständige Übernahme, da ausreichend und wirtschaftlich |
| Private Kassen | Übernahme im tariflichen Rahmen |
| Vorteile | Zahnfarben, schnell und billig herzustellen |
| Nachteile | je größer die Füllung, desto geringer die Haltbarkeit Also: gut für Milchzähne, für zeitlich begrenzte Füllungen |

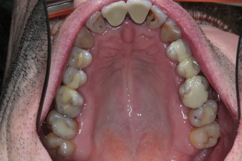
Composite Füllung
| Gesetzliche Kassen | vollständige Übernahme bei Zahnhalsfüllungen u. normalen Frontzahnfüllungen Zuzahlung bei Seitenfüllungen ca. 40,- bis 80,- EUR. Bei großflächigen Füllungen: nicht empfehlenswert, besser Krone/Teilkrone |
| Private Kassen | Übernahme im tariflichen Rahmen |
| Vorteile | gutes Aussehen, gute Haltbarkeit bei kleinen bis mittlelgroßen Füllungen |
| Nachteile | hoher Aufwand, absolute Trockenlegung für ein dichtes kleben am Zahn unerlässlich, d.h. nicht möglich bei blutendem Zahnfleisch u. sehr tiefen Füllungen |

Gold
| Gesetzliche Kassen | keine vollst. Übernahme, Zuzahlung: je nach Größe 450 – 550 Euro, Teilkrone ca. 300 – 550 Euro je nachdem, wieviel Gold gebraucht wird. Hier geben die Kassen einen Kronenzuschuß. |
| Private Kassen | Übernahme im tariflichen Rahmen |
| Vorteile | hält unglaublich lange, bestens zu pflegen, bei richtiger Goldwahl absolut biologisch verträglich |
| Nachteile | die von manchen als störend empfundene Farbe, sehr hoher Aufwand |

Keramik
| Gesetzliche Kassen | keine vollst. Übernahme, Zuzahlung: ca. 450- 550 Euro |
| Private Kassen | Übernahme im tariflichen Rahmen Eigenbeteiligung sehr wahrscheinlich |
| Vorteile | perfekte Ästhetik, metallfrei |
| Nachteile | höchster Aufwand, sehr aufwändige Anfertigung |

